[Reviews of Cells]

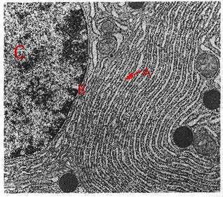
11a. What is the name of the long tubular organelle labelled A ?

b. What is the name of the organelle labelled B ?

c. What is the name of the organelle labelled C ?

[[Answer]

Slichter