[
Reviews of Cells
]
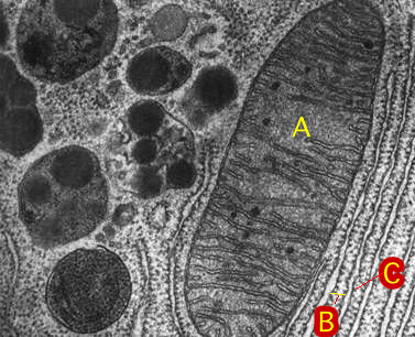
7. Is this an example of a prokaryotic or eukaryotic cell (Hint: You are seeing inside of one cell)?
[
Answer
]
Slichter